正しい歯並びで健康をサポート
歯並びや咬み合せを整える ~矯正歯科~

歯並びの乱れは、見た目が気になるのはもちろん、食べカスがたまりやすくみがき残しが出やすいことで、虫歯や歯周病を招く原因になります。また咬み合わせがずれていると、口腔内だけでなく全身にもさまざまな悪影響を及ぼしてしまいます。
矯正歯科では、歯並びや咬み合わせを改善することで、見た目のコンプレックスの解消、虫歯や歯周病の予防や全身の健康維持を実現できます。歯列にお悩みがありましたら矯正治療を受け、心身ともに健康になりましょう。
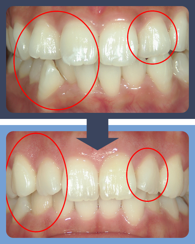
症例紹介
キーデンタルクリニック矯正歯科の特徴
当院では矯正専門医が矯正治療にあたっています。矯正専門医は、矯正治療の実績を数多く持っているのはもちろん、日々進化する矯正治療について常に学んでいる専門家です。
「モチはモチ屋」の言葉通り、矯正治療は矯正の専門家が行ってこそ理想の成果を生みます。歯並びや咬み合わせのことで気になることがありましたら、いつでもお気軽に当院の院長または矯正専門医にご相談ください。
キーデンタルクリニックの矯正治療
メタルブラケット

矯正治療としてもっともポピュラーな矯正法。歯の表面にブラケットを取りつけ、ワイヤーを通して歯並びを整えていきます。多くの症例に対応できますが、金属アレルギーの方には適していません。
セラミックブラケット

歯の表面に取りつけるブラケットをセラミック製にすることで、目立ちにくくした矯正法。金属アレルギーの方にも治療が可能です。
ホワイトワイヤー

ブラケットに通すワイヤーを白くコーティングすることで、さらに目立ちにくくしています。ブラケットによる治療を受けたいけれど、装置が目立つのが気になる方におすすめです。
クリアアライナー

取り外しが可能な、透明の矯正用マウスピース。目立たず、痛みが少ないことが特徴です。矯正が進む過程で度々歯型を採って、その都度新しくマウスピースをつくり、治療を進めます。
不正咬み合わせの悪影響
歯並びや咬み合わせが乱れている状態を「不正咬合」と言います。不正咬合は見た目が気になるだけでなく、口腔内や全身に次のようなさまざまな悪影響を及ぼします。
- 食べカスが詰まりやすく、みがき残しが出やすいため、虫歯や歯周病になりやすい
- 食べ物をしっかり咬みくだいて摂取することができず、胃腸に負担がかかる
- 発音や会話に支障を来たす
- 咬むバランスが崩れているため、顎の関節や身体の片側に負担をかけ、顎関節症や肩こり、頭痛などを招く
- 顎や顔の成長に悪影響を及ぼし、口もと、顔つきがゆがむ
- 見た目のコンプレックスが生じる など
不正咬み合わせの種類
上顎前突

いわゆる出っ歯。上顎が下顎より大きかったり、前に突出したりしている状態。日本人に多いとされる不正咬合です。幼い頃の指しゃぶりのクセが影響していると言われます。
下顎前突

いわゆる受け口。下顎が上顎より大きかったり、前に突出していたりする状態。
開咬

奥歯でしっかり咬み合わせても、上下の前歯にすき間ができてしまう状態。幼い頃の指しゃぶりのクセなどが、原因と言われています。
叢生

「乱杭歯(らんぐいば)」とも言い、八重歯もその一種です。歯並びがでこぼこだったり、歯が曲がって生えていたりします。
過蓋咬合

上の前歯が下の前歯に深く被さっている状態。下の歯がまったく見えない症例もあります。
空隙歯列

「正中離開(せいちゅうりかい)」とも言う、いわゆるすきっ歯。歯と歯の間にすき間がある状態。