審美歯科で理想的な美しい歯を手に入れましょう。
健康で美しい歯のために~審美歯科~

赤坂見附の歯科医院「キーデンタルクリニック」の審美治療の特徴や、治療に用いる素材、治療例などをご紹介します。審美歯科で理想的な美しい歯を手に入れましょう。
審美歯科では、患者様の口腔内の健康を前提として、歯の色や形を美しく整える治療を行います。患者様が何をお悩みで、どんな口元になりたいのかをしっかり伺い、ご納得いただけるまでカウンセリングを重ねた上で適切な治療をご提案します。審美歯科で、健康で美しい歯を手に入れましょう。
メタルフリー治療について
当院の審美歯科では、金属(メタル)を一切使用しないメタルフリー治療を行っております。メタルフリー治療のほとんどのケースでは高品質のセラミックを使用しているため、金属アレルギーを起こさず身体に安全で、どこを治療したのか分からないほど自然な口腔内を再現できます。詳しくは、お気軽に当院までご相談ください。
キーデンタルクリニック審美歯科の特徴
POINT01-カウンセリングの徹底

患者様のお悩みや治療についてのご希望などを、時間をかけてじっくりと伺い、納得いただけるまでカウンセリングを重ねた上で治療に入ります。当院ではカウンセリングルームを設置しておりますので、ほかの患者様の目が気になりません。どんなことでも自由にお話しください。
POINT02-精密な治療もお任せ下さい
肉眼では見えない部分の治療にはサージカルルーペを使用し、精密で正確な治療を行います。当院は審美治療の数多くの実績を持っておりますので、ご安心ください。
POINT03-一流の技工士がサポート
審美治療には、精度の高い技工物が欠かせません。当院ではセンスのいい一流の歯科技工士が審美治療をサポートしています。患者様に満足していただける仕上がりをお約束します。
審美歯科で使用される素材

当院の審美治療で使用するセラミック素材をご紹介します。それぞれにメリット・デメリットがありますので、これらをよくふまえ、患者様自身のご要望に合った治療法をお選びください。
オールセラミック
セラミックのみを使用しており、インレー、クラウンに使用されます。天然歯と同程度の硬さを持ち、また見た目にも自然な色調が再現できるため、治療痕が分かりません。治療費用は比較的高額になりますが、患者様の歯の色や形にピッタリの技工物がつくれる優れた素材です。
ハイブリッドセラミック
セラミックとレジン(歯科用プラスチック樹脂)をかけ合わせた素材です。インレー、クラウンに使用されます。オールセラミックよりも天然歯に近い硬さを 持っているため、咬み合う歯を傷めず、咬み心地もとても自然です。レジンの要素を持つため時間の経過とともに変色を起こすことがありますが、オールセラ ミックに比べて費用が抑えられるメリットがあります。
セラミック治療例
インレー
セラミックのみを使用しており、インレー、クラウンに使用されます。天然歯と同程度の硬さを持ち、また見た目にも自然な色調が再現できるため、治療痕が分かりません。治療費用は比較的高額になりますが、患者様の歯の色や形にピッタリの技工物がつくれる優れた素材です。


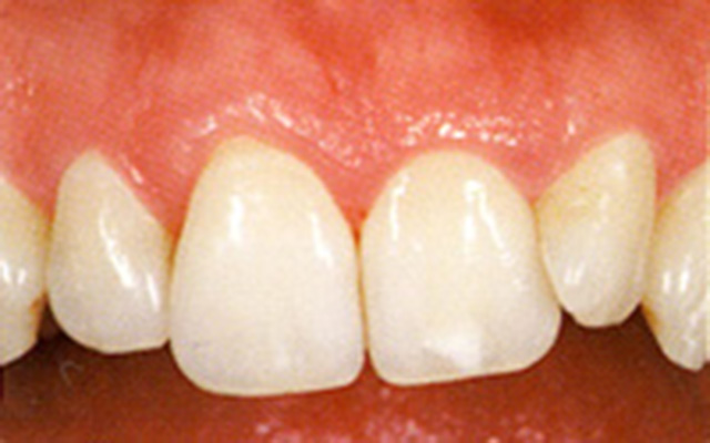
クラウン
重度の虫歯治療で、虫歯部分を大きく削った際に被せるクラウン。前歯、奥歯ともに使用されます。天然歯に合わせて色調が再現できるため、どの歯がクラウンなのか見分けがつかない口腔内になります。


ラミネートベニア
歯を薄く削り、つけ爪のような薄いセラミックの板をその上に貼りつけることで、歯の形や色、咬み合わせを整える治療です。すきっ歯の方や生まれつき歯の色が黄ばんでいる方などに適しています。

